কম্পোজিট রেস্টোরেশন
প্রাকৃতিক সৌন্দর্যে দাঁত পুনর্গঠন | খুলনার সেরা ডেন্টাল সার্ভিস
খুলনায় কম্পোজিট রেস্টোরেশন সেবা - দাঁতের প্রাকৃতিক রঙের সাথে মিলিয়ে ফিলিং। ক্ষয়প্রাপ্ত, ভাঙা বা বিবর্ণ দাঁত পুনরুদ্ধার করুন ডিফেন্স ডেন্টাল কেয়ারে। ২৪ বছরের অভিজ্ঞ ডাক্তার।
ডেন্টিষ্ট মোঃ রাসেল পারভেজ
বিডিএ (ঢাকা), ডিডিটি (ঢাকা)
কম্পোজিট রেস্টোরেশনে ২৪ বছরের অভিজ্ঞতা
কম্পোজিট রেস্টোরেশনের সুবিধা
প্রাকৃতিক রঙ
দাঁতের রঙের সাথে নিখুঁতভাবে মিলে যায়
দীর্ঘস্থায়ী
সঠিক যত্নে ১০-১৫ বছর পর্যন্ত টেকে
ব্যথামুক্ত প্রক্রিয়া
স্থানীয় অ্যানেস্থেসিয়ায় সম্পূর্ণ আরামদায়ক
দ্রুত চিকিৎসা
একটি সেশনেই সম্পন্ন হয়
দাঁতের গঠন সংরক্ষণ
কম দাঁত কাটতে হয়, বেশি দাঁত থাকে
তাপ সহনশীল
গরম বা ঠান্ডায় কম সংবেদনশীল
কীভাবে চিকিৎসা হয়
আধুনিক প্রযুক্তি ও অভিজ্ঞতার মাধ্যমে নিখুঁত ফলাফল
পরীক্ষা ও পরিকল্পনা
দাঁতের অবস্থা পরীক্ষা করে চিকিৎসা পরিকল্পনা তৈরি
প্রস্তুতি
ক্ষয়গ্রস্ত অংশ সাবধানে পরিষ্কার করা
রঙ নির্বাচন
দাঁতের প্রাকৃতিক রঙের সাথে মিলিয়ে কম্পোজিট নির্বাচন
প্রয়োগ ও শেপিং
স্তরে স্তরে কম্পোজিট প্রয়োগ ও আকৃতি প্রদান
কিউরিং
বিশেষ আলো দিয়ে কম্পোজিট শক্ত করা
পলিশিং
মসৃণ ও উজ্জ্বল ফিনিশিং প্রদান
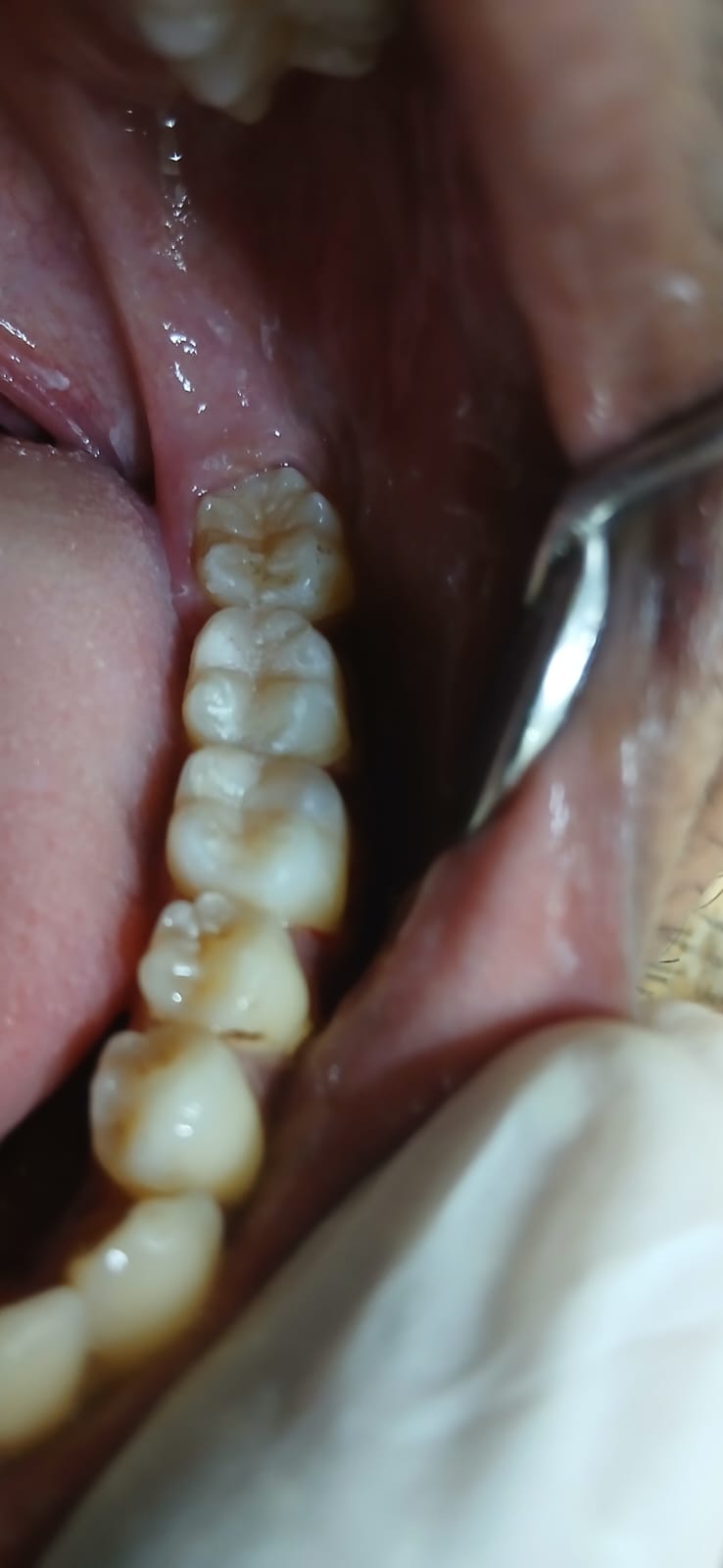
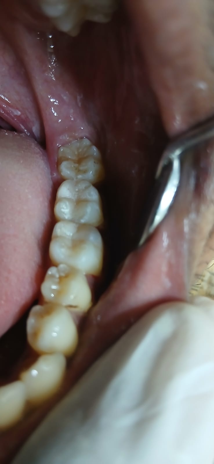
আগে ও পরে
আমাদের সফল কম্পোজিট রেস্টোরেশনের কিছু উদাহরণ
সামনের দাঁতের ক্ষয় মেরামত
ভাঙা দাঁত পুনর্গঠন
দাঁতের ফাঁক বন্ধ
ছবিতে ক্লিক করে বড় করে দেখুন। আরও কেস স্টাডি দেখতে ক্লিনিকে আসুন।
খুলনায় কম্পোজিট রেস্টোরেশন
খুলনা জেলার দুটি সুবিধাজনক স্থানে আমাদের ক্লিনিক
৭ রাস্তার মোড় চেম্বার (প্রধান)
খুলনা সিটির কেন্দ্রে অবস্থিত। শিববাড়ি, খালিশপুর, বয়রা থেকে সহজে আসা যায়।
সকাল ৯টা - রাত ৯টা (শুক্রবার বন্ধ)
গল্লামারি চেম্বার
গল্লামারি, রূপসা ও ফুলতলা এলাকার রোগীদের জন্য সুবিধাজনক।
বিকাল ৪টা - রাত ৯টা (শুধু শনিবার)
কেন ডিফেন্স ডেন্টাল কেয়ার বেছে নেবেন?
খুলনা ও আশেপাশের এলাকায় (যেমন: বাগেরহাট, সাতক্ষীরা, যশোর, নড়াইল) কম্পোজিট রেস্টোরেশন এবং অন্যান্য ডেন্টাল সেবার জন্য ডিফেন্স ডেন্টাল কেয়ার একটি বিশ্বস্ত নাম। আমাদের প্রধান ডাক্তার সেনাবাহিনীর ডেন্টাল কোরে ২৪ বছরের অভিজ্ঞতা অর্জন করেছেন।
- আর্মি ডেন্টাল ইউনিটে প্রশিক্ষিত ও অভিজ্ঞ ডাক্তার
- আধুনিক যন্ত্রপাতি ও জীবাণুমুক্ত পরিবেশ
- সাশ্রয়ী মূল্যে মানসম্পন্ন সেবা
- খুলনা সিটির কেন্দ্রে সুবিধাজনক অবস্থান
প্রায়শই জিজ্ঞাসিত প্রশ্ন
কম্পোজিট রেস্টোরেশন কতদিন টেকে?
সঠিক যত্ন ও নিয়মিত চেকআপে কম্পোজিট রেস্টোরেশন ১০-১৫ বছর পর্যন্ত টেকসই থাকে। তবে এটি নির্ভর করে দাঁতের অবস্থান, কামড়ের ধরন এবং মুখের যত্নের উপর।
চিকিৎসায় কি ব্যথা হয়?
না, স্থানীয় অ্যানেস্থেসিয়া দেওয়া হয় তাই চিকিৎসার সময় কোনো ব্যথা অনুভব হয় না। চিকিৎসার পর সামান্য সংবেদনশীলতা থাকতে পারে যা কিছু দিনের মধ্যে চলে যায়।
অ্যামালগাম (রূপালী) ফিলিং থেকে কম্পোজিট কি ভালো?
হ্যাঁ, কম্পোজিট দেখতে প্রাকৃতিক, দাঁতের সাথে বন্ধন তৈরি করে, এবং কম দাঁত কাটতে হয়। তবে খরচ একটু বেশি। আমরা আপনার প্রয়োজন অনুযায়ী সেরা বিকল্প সুপারিশ করব।
চিকিৎসার পর কি কোনো সতর্কতা মানতে হবে?
প্রথম ২৪ ঘণ্টা দাগ লাগতে পারে এমন খাবার (চা, কফি, কোলা, পান) এবং পানীয় এড়িয়ে চলুন। শক্ত খাবার সাবধানে চিবান। নিয়মিত ব্রাশ ও ফ্লস করুন এবং ৬ মাস পরপর চেকআপ করান।
খুলনায় কম্পোজিট রেস্টোরেশন কোথায় করাবেন?
খুলনার ৭ রাস্তার মোড় ও গল্লামারিতে ডিফেন্স ডেন্টাল কেয়ারে আসুন। ২৪ বছরের অভিজ্ঞ সেনাবাহিনীর ডেন্টাল সার্জন দ্বারা আধুনিক পদ্ধতিতে চিকিৎসা করা হয়।
কম্পোজিট ফিলিং এর খরচ কত?
ফিলিংয়ের খরচ নির্ভর করে দাঁতের ক্ষতির পরিমাণ এবং প্রয়োজনীয় কাজের উপর। সঠিক মূল্য জানতে আমাদের ক্লিনিকে এসে বিনামূল্যে পরামর্শ নিন।
খুলনায় কম্পোজিট রেস্টোরেশনের জন্য আজই সিরিয়াল নিন
দাঁতের ক্ষয়, ভাঙা বা বিবর্ণ দাঁত? অভিজ্ঞ ডাক্তারের কাছে আসুন। ২৪ বছরের সেনাবাহিনীর অভিজ্ঞতায় নিখুঁত ফলাফলের নিশ্চয়তা।